Servikal Distoni Etiyolojisinde Gömük Dişler ve Nöralterapi İle Tedavi

Nöralterapi ve tamamlayıcı tıp alanında yayın yapan Türkiye'nin ilk dergisi BARNAT'ta 'Servikal Distoni Etiyolojisinde Gömük Dişler ve Nöralterapi İle Tedavi' isimli bir makale yayımlandı.

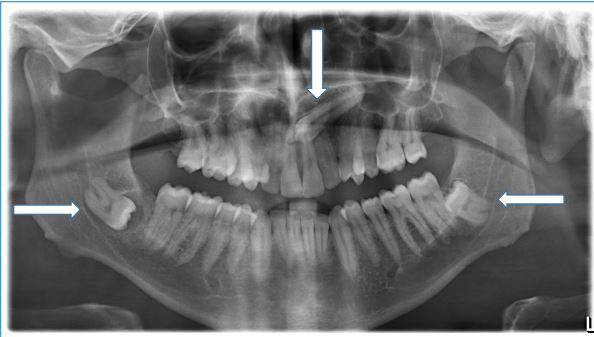
Servikal distoni, boyun ve omuz kaslarını etkiler. Tekrarlayıcı özellikte, klonik ve tonik hareketlerle karektirizedir. Başın anormal postürüne neden olur. Klinik pratikte en sık rastlanılan fokal distoni çeşididir. Servikal distoni’nin prevelansı yaklaşık 9/100.000 olarak bulunmuştur (2). Hastalığın altında yatan patolojik mekanizma ve etiyoloji tam olarak bilinmemektedir. Genetik faktörlerin hastalığın gelişiminde önemli rol oynadığı düşünülmektedir. Servikal distoni’li bazı ailelerde 18. kromozomun kısa koluna lokalize genetik bozukluk bulunmuştur.

Özet
Gömük dişlerin servikal distoni etiyolojisinde yerini göstermek. Servikal distoni tedavisinde nöralterapi uygulamalarının etkinliğini belirlemek. Servikal distoni, boyun ve omuz kaslarını etkiler. Tekrarlayıcı özellikte, tonik ve klonik hareketlerle karektirizedir. Başın anormal postürüne neden olur. Klinik pratikte en sık rastlanılan fokal distoni çeşididir. Hastalığın altında yatan patolojik mekanizma ve etiyoloji tam olarak bilinmemektedir. Gömük dişler sempatik uyaranlara dönüşerek "Bozucu Alan" yaratabilir. Sempatik aşırı stimülasyon, nöral terapi yaklaşımı ile çözülebilir. Olgunun şikayetleri 18 ay önce boyunda istemsiz titreme ve tonik-klonik kasılmalarla başlamıştı. Başka merkezlerde servikal distoni teşhisi konmuştu. Olguya on iki seans nöralterapi tedavisi uygulandı. Olguda, takip sürecinde distoni gelişmedi. Gaz ve şişkinlik sorunları kalmadı. Postur düzelmesine yönelik egzersiz ve nöralterapi injeksiyonları devam etmektedir.